- 診療メニューはこちらをクリック
サイト内の記事はこちらから検索が可能です


矯正歯科とは矯正治療とは、かみ合わせの悪い歯を治療することです。
歯のかみ合わせや歯並びが悪いと、健康面や精神的な面でも様々な問題が生じてきます。
虫歯や歯周病の原因にもなりますし、アゴの成長、顔のかたちや口もとにも影響します。ひどい場合には顔が歪むこともあります。
また、かみ合わせの状態によっては正しい発音がしにくいなどの発音障害が出てきます。
ガタガタの歯並びをきれいな歯並びにする、キチンとした噛み合わせにする事は矯正歯科の基本です。
当院では矯正装置を使用し歯や顎の骨に力をかけ、ゆっくりと動かす事によって歯並び、噛み合わせを治していきます。
歯が不揃い、上下のアゴの歯並びが互いにキチンと噛み合わない状態を、専門的に「不正咬合」と言います。
「不正咬合」をほうっておくと次のような症状がでてきます。
口臭がひどい・虫歯になる・言葉が発しにくい・顎の関節が痛い・食べ物が噛みにくい
こういった症状がひどくなる前に是非、ご相談・ご来院下さい。
矯正治療の流れ歯並び矯正は治療目標により期間や方法が異なります。
きちんと検査し、問題点や治療内容を納得していただいて初めて治療を開始します。ぜひ一度ご相談ください。
歯並び・かみ合わせなど気になる点や、どういう治療方法で進めていくかをしっかりと話し合います。
レントゲン等で顎の大きさや歯並びの状態を分析します。それにもとづいた治療を行います。
実際に矯正装置を装着します。
精密検査や患者さまの希望を把握した上で最適な治療・装置を使用します。
目立たない矯正装置目立たない矯正装置「インビザライン」による治療は、
透明なマウスピースを利用した、目立たず取り外しもできる矯正治療です。
衛生的で目立たず、学校やお仕事にも支障なくお使いいただけます。

松岡歯科クリニックでは、
インビザラインに関して勉強会やセミナーへ積極的に参加しております。
皆様の口腔内の健康と保つため、様々な方法にて良い治療をご提供してまいります。

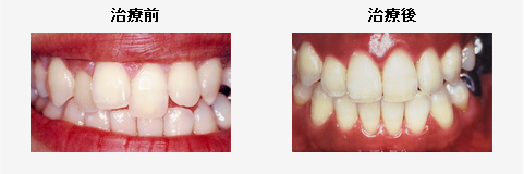
症例今からでも遅くありません!矯正で歯並びが治りました。(34才の女性の例)
期間は6〜12ヶ月、夜間のみ装着も可能です。

| 2025年11月 | ||||||
| 日 | 月 | 火 | 水 | 木 | 金 | 土 |
| 1 | ||||||
| 2 | 3 | 4 | 5 | 6 | 7 | 8 |
| 9 | 10 | 11 | 12 | 13 | 14 | 15 |
| 16 | 17 | 18 | 19 | 20 | 21 | 22 |
| 23 | 24 | 25 | 26 | 27 | 28 | 29 |
| 30 | ||||||
| 2025年12月 | ||||||
| 日 | 月 | 火 | 水 | 木 | 金 | 土 |
| 1 | 2 | 3 | 4 | 5 | 6 | |
| 7 | 8 | 9 | 10 | 11 | 12 | 13 |
| 14 | 15 | 16 | 17 | 18 | 19 | 20 |
| 21 | 22 | 23 | 24 | 25 | 26 | 27 |
| 28 | 29 | 30 | 31 | |||
